original – https://sexsciencespirit.blogspot.com/2014/01/endorphins-and-adrenaline-what-science.html
O texto a seguir responde a este artigo:
https://fetlife.com/users/2529856/posts/1968359
Que, ao que parece, foi publicado originalmente aqui:
http://friskybusinessboutique.com/news/blog/the-endorphin-levels-in-bdsm-a-short-primer-on-sending-a-submissive-into-hyperspace
Em linhas gerais, o artigo afirma que endorfinas seriam liberadas em “cargas” discretas e que o corpo leva cerca de 10 minutos para repor cada carga antes de liberá-la novamente. Em seguida, propõe um método no qual o bottom é castigado com força em intervalos de 10 minutos para levá-lo a níveis crescentes de “endorfinas” até atingir um estado de beatitude atônita. O texto também traz alegações sobre como a liberação de adrenalina equilibraria a de endorfinas, além de instruções para minimizar adrenalina e maximizar endorfinas (supostamente o objetivo).
Há dois problemas distintos no artigo. O primeiro é afirmar que tudo isso se baseia em ciência. O segundo é se os estados que ele descreve podem mesmo ocorrer com um bottom durante uma cena de SM. Vou tratar aqui apenas do primeiro ponto. Quanto ao segundo, há inúmeros relatos de estados alterados de consciência em bottoms durante cenas de SM. Contudo, a base fisiológica desses estados, seu valor e as melhores formas de alcançá-los são temas altamente debatíveis.

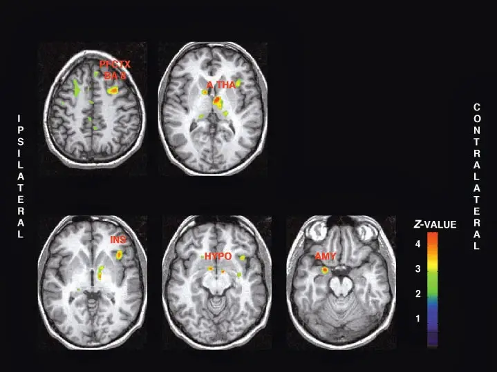
Fonte: Zubieta et al. (2001), Science 293: 311.
Sou neurocientista e pesquiso dor há várias décadas. Em particular, tenho investigado a liberação de endorfinas em ratos. Com base no meu conhecimento, vou argumentar que o artigo citado acima não tem qualquer fundamento científico. A questão da liberação de endorfinas é enormemente complexa; portanto, vou resumir os pontos mais relevantes para esta discussão.
A primeira coisa que preciso explicar é a barreira hematoencefálica. O sangue é altamente tóxico para os neurônios, então existe uma barreira entre os capilares que levam oxigênio e nutrientes ao cérebro e o tecido nervoso. A maioria das substâncias não atravessa essa barreira sem a “permissão” das células-porteiras que a formam. Em particular, endorfinas, adrenalina e outros hormônios secretados no sangue não cruzam a barreira hematoencefálica, o que significa que as quantidades de endorfinas e adrenalina no sangue não têm qualquer efeito sobre a mente. Essas substâncias precisam ser liberadas dentro do cérebro para afetar humor ou consciência.
Segundo: você pode imaginar as endorfinas como formando uma espécie de sopa que banha o cérebro inteiro. Isso está completamente errado. Endorfinas são liberadas por vias neurais muito específicas e afetam apenas áreas cerebrais muito pequenas. Isso quer dizer que o efeito das endorfinas depende de onde no cérebro elas são liberadas. Por exemplo, a liberação de endorfinas numa pequena área do tronco encefálico chamada núcleo rafe magno inibe a dor; sua liberação no núcleo accumbens produz um estado de êxtase mediado por dopamina; sua liberação na ínsula produz emoções positivas — e assim por diante.
Terceiro: o que venho chamando até agora de “endorfinas” é, na verdade, um conjunto de cerca de 40 peptídeos diferentes, codificados por três genes distintos e classificados em três famílias: endorfinas, encefalinas e dinorfinas. Endorfinas e encefalinas se ligam aos receptores opioides mu e delta, ao passo que as dinorfinas se ligam aos receptores kappa. Os três tipos de receptores produzem analgesia (isto é, diminuição da dor), mas apenas os receptores mu e delta produzem euforia (sensação de prazer e bem-estar). Já os receptores kappa produzem disforia, uma sensação profundamente desagradável de mal-estar e infelicidade. Portanto, nem toda liberação de “endorfinas” levará a um estado de êxtase. Assim como endorfinas e encefalinas, dinorfinas também são liberadas pela dor, especialmente quando acompanhada de angústia — o que pode ocorrer, por exemplo, em ambientes sociais adversos ou em situações desagradáveis sobre as quais não temos controle.

Fonte: Zubieta et al. (2001), Science 293: 311.
Voltando ao tal post: não é verdade que endorfinas sejam liberadas em “cargas” e que o corpo leve 10 minutos para repor a carga depois que ela é liberada. Pelo que expus acima, dá para deduzir que essa é uma visão ingênua e simplista do que, na realidade, é um sistema tremendamente complexo. O efeito final sobre nosso estado de consciência e nosso humor dependeria de quais peptídeos (endorfinas, encefalinas ou dinorfinas) são liberados e, mais importante, onde no cérebro são liberados. Como os níveis de endorfinas no sangue não afetam o cérebro, para estudar a liberação de endorfinas precisamos de uma técnica que permita detectá-las dentro de um cérebro vivo. Por incrível que pareça, isso foi feito por um cientista chamado Jon-Kar Zubieta. Utilizando tomografia por emissão de pósitrons (PET), ele consegue medir a ligação de um fármaco opioide, o carfentanil, aos receptores mu. Ele publicou diversos artigos com essa técnica (alguns listados ao final) mostrando onde no cérebro as endorfinas são liberadas (na verdade, onde elas se ligam aos receptores mu, deslocando o carfentanil) durante dor ou certos estados emocionais. Infelizmente, ele não estudou masoquistas apanhando até virar polpa numa cena de SM. Não há qualquer indicação nos seus estudos de que endorfinas sejam liberadas em “cargas” ou de que tais cargas precisem ser repostas a cada 10 minutos. Isso também não bate com o que sabemos sobre os mecanismos pelos quais as endorfinas são sintetizadas e liberadas.
E a adrenalina? Na verdade, o cérebro usa um composto similar, a noradrenalina (também chamada de norepinefrina, ou simplesmente NE). A NE faz muita coisa no cérebro — novamente, depende de onde é liberada e de quais de seus muitos receptores são ativados. É verdade, porém, que a NE liberada na medula espinhal inibe a dor. Esse efeito é conduzido por uma via neuronal que se origina em várias partes do tronco encefálico (os núcleos chamados A5, A7 e locus coeruleus) e desce pela medula. Os núcleos A5, A7 e o locus coeruleus são ativados pelo estresse na resposta de luta/fuga, conhecida por produzir analgesia. Portanto, a adrenalina pode complementar as endorfinas na redução da dor durante uma cena de SM.
Como tudo isso se aplica a uma cena de SM? Ninguém sabe ao certo. Não conheço estudos científicos feitos com sadomasoquistas, embora seria fascinante realizá-los. Mas, diante da complexidade desses sistemas, de como variam de pessoa para pessoa e de como são fortemente influenciados por interações sociais e pelo ambiente, podemos supor que não há fórmula simples para induzir a liberação de endorfinas ou adrenalina em alguém. O top precisa “voar por instrumentos”, ler o bottom com muito cuidado e ficar no lado seguro ao induzir estados mentais alterados no bottom. Estamos brincando com fogo aqui e, mesmo que tudo pareça bem durante a cena, ninguém sabe quais consequências imprevistas isso pode ter no futuro.
Referências:
Zubieta, J. K., Y. R. Smith, et al. (2001). Regional mu opioid receptor regulation of sensory and affective dimensions of pain. Science 293(5528): 311-315.
Mason P (1999) Central mechanisms of pain modulation. Curr Opin Neurobiol 9:436-441.
Hunt SP, Mantyh PW (2001) The molecular dynamics of pain control. Nat Rev Neurosci 2:83-91.
Zubieta JK, Smith YR, Bueller JA, Xu Y, Kilbourn MR, Jewett DM, Meyer CR, Koeppe RA, Stohler CS (2002) mu-opioid receptor-mediated antinociceptive responses differ in men and women. J Neurosci 22:5100-5107.
Zubieta JK, Ketter TA, Bueller JA, Xu Y, Kilbourn MR, Young EA, Koeppe RA (2003) Regulation of human affective responses by anterior cingulate and limbic mu-opioid neurotransmission. Arch Gen Psychiatry 60:1145-1153.
Apkarian AV, Bushnell MC, Treede RD, Zubieta JK (2005) Human brain mechanisms of pain perception and regulation in health and disease. Eur J Pain 9:463-484.
Ribeiro SC, Kennedy SE, Smith YR, Stohler CS, Zubieta JK (2005) Interface of physical and emotional stress regulation through the endogenous opioid system and mu-opioid receptors. Prog Neuropsychopharmacol Biol Psychiatry 29:1264-1280.
Wager TD, Scott DJ, Zubieta JK (2007) Placebo effects on human mu-opioid activity during pain. Proc Natl Acad Sci U S A 104:11056-11061.
